Skip to content Skip to sidebar Skip to footer

Gestational Trophoblastic Disease Radiology

Gestational Trophoblastic Disease Radiology Reference Article Radiopaedia Org

Gestational Trophoblastic Disease Radiology Reference Article Radiopaedia Org

Gestational trophoblastic disease radiology. Gestational trophoblastic neoplasia GTN encompasses a broad spectrum of placental lesions from the pre-malignant hydatidiform mole complete and partial through to the malignant invasive mole choriocarcinoma and rare placental site trophoblastic tumour PSTT. There is considerable variation in the worldwide distribution of GTD with the highest frequencies reported in Asia and the Middle East and lower rates on the order of 1 per 1000 pregnancies in. Instead these tumors start in the cells that would normally develop into the placenta during pregnancy.

GTD refers to both the benign and malignant entities in the spectrum and includes hydatidiform mole complete and partial invasive mole choriocarcinoma placental site trophoblastic tumor PSTT and epithelioid trophoblastic tumor ETT. Gestational trophoblastic disease GTD is a spectrum of disorders characterized by abnormal trophoblastic proliferation. Trophoblastic disease originates from the placental villi.

GTD refers to both the benign and malignant entities in the spectrum and includes hydatidiform mole complete and partial invasive mole choriocarcinoma placental. The cells that form gestational trophoblastic tumours are called trophoblasts and come from tissue that grows to form the placenta during pregnancy. GTD includes benign conditions such as hydatidiform moles and malignant diseases that are referred as gestational trophoblastic neoplasia GTN.

Gestational trophoblastic neoplasia GTN encompasses a broad spectrum of placental lesions from the pre-malignant hydatidiform mole complete and partial through to the malignant invasive mole choriocarcinoma and rare placental site trophoblastic tumour PSTT. Choriocarcinoma arises from both cyto- and syncytio-trophoblast and produces high levels of hCG. Gestational trophoblastic disease GTD refers to an abnormal trophoblastic proliferation composed of a broad spectrum of lesions ranging from benign albeit premalignant hydatiform mole complete and partial through to the aggressive invasive mole choriocarcinoma and placental site trophoblastic.

Gestational trophoblastic disease GTD is a spectrum of both benign and malignant gestational tumors including hydatidiform mole complete and partial invasive mole Choriocarcinoma placental site trophoblastic tumor and epithelioid trophoblastic tumor. Because it is an unusual and serious disease that affects women of reproductive age as well as because its appropriate treatment results in high cure rates it is crucial that radiologists be familiar with gestational trophoblastic disease in order to facilitate its early diagnosis and to ensure appropriate follow-up imaging. These tumours are rare and they appear when cells in the womb start to proliferate uncontrollably.

Gestational trophoblastic disease GTD is a spectrum of disorders arising from abnormal proliferation of the trophoblastic epithelium of the placenta. Gestational trophoblastic disease GTD is a group of rare tumors that involve abnormal growth of cells inside a womans uterus. The term gestational trophoblastic disease GTD encompasses a spectrum of tumors with a wide range of biologic behavior and potential for distant metastases.

Epidemiology Hydatidiform moles are one of the common complications of gestation estimated to occur in one of every 1000-2000 pregnanci. The hydatidiform moles are one of the most common but benign forms of gestational trophoblastic disease.

134 Gestational Trophoblastic Disease Radiology Key

134 Gestational Trophoblastic Disease Radiology Key

Gestational Trophoblastic Disease Radiology Reference Article Radiopaedia Org

Gestational Trophoblastic Disease Radiology Reference Article Radiopaedia Org

Gestational Trophoblastic Disease Clinical And Imaging Features Radiographics

Gestational Trophoblastic Disease Clinical And Imaging Features Radiographics

Gestational Trophoblastic Disease Radiology Reference Article Radiopaedia Org

Gestational Trophoblastic Disease Radiology Reference Article Radiopaedia Org

Epos C 0710

Epos C 0710

Gestational Trophoblastic Disease Clinical And Imaging Features Radiographics

Gestational Trophoblastic Disease Clinical And Imaging Features Radiographics

Gestational Trophoblastic Disease Clinical And Imaging Features Radiographics

Gestational Trophoblastic Disease Clinical And Imaging Features Radiographics

Gestational Trophoblastic Neoplasia Radiology Key

Gestational Trophoblastic Neoplasia Radiology Key

Gestational Trophoblastic Disease Clinical And Imaging Features Radiographics

Gestational Trophoblastic Disease Clinical And Imaging Features Radiographics

Https Pubs Rsna Org Doi Pdf 10 1148 Rg 2017160140

Https Pubs Rsna Org Doi Pdf 10 1148 Rg 2017160140

Gestational Trophoblastic Disease Clinical And Imaging Features Radiographics

Gestational Trophoblastic Disease Clinical And Imaging Features Radiographics

Scielo Brasil Clinical And Radiological Correlations In Patients With Gestational Trophoblastic Disease Clinical And Radiological Correlations In Patients With Gestational Trophoblastic Disease

Scielo Brasil Clinical And Radiological Correlations In Patients With Gestational Trophoblastic Disease Clinical And Radiological Correlations In Patients With Gestational Trophoblastic Disease

Gestational Trophoblastic Disease Clinical And Imaging Features Radiographics

Gestational Trophoblastic Disease Clinical And Imaging Features Radiographics

References In Radiology Of Gestational Trophoblastic Neoplasia Clinical Radiology

References In Radiology Of Gestational Trophoblastic Neoplasia Clinical Radiology

Gestational Trophoblastic Disease Clinical And Imaging Features Radiographics

Gestational Trophoblastic Disease Clinical And Imaging Features Radiographics

Pdf Ultrasound And Mri Findings In Gestational Trophoblastic Disease Gtd Learning Objectives

Pdf Ultrasound And Mri Findings In Gestational Trophoblastic Disease Gtd Learning Objectives

Gestational Trophoblastic Disease Clinical And Imaging Features Radiographics

Gestational Trophoblastic Disease Clinical And Imaging Features Radiographics

Gestational Trophoblastic Disease

Gestational Trophoblastic Disease

Gestational Trophoblastic Disease A Multimodality Imaging Approach With Impact On Diagnosis And Management

Gestational Trophoblastic Disease A Multimodality Imaging Approach With Impact On Diagnosis And Management

Gestational Trophoblastic Disease Clinical And Imaging Features Radiographics

Gestational Trophoblastic Disease Clinical And Imaging Features Radiographics

A Pictorial Ultrasound Essay Of Gestational Trophoblastic Disease Cavoretto 2020 Journal Of Ultrasound In Medicine Wiley Online Library

A Pictorial Ultrasound Essay Of Gestational Trophoblastic Disease Cavoretto 2020 Journal Of Ultrasound In Medicine Wiley Online Library

Imaging In Gestational Trophoblastic Disease Sciencedirect

Imaging In Gestational Trophoblastic Disease Sciencedirect

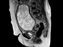
Mri Is Indicated In Patients With Malignant Forms Of Gestational Trophoblastic Neoplasia Gtn For An Assessment Of Tumor Vasc Rings For Men Mri Representation

Mri Is Indicated In Patients With Malignant Forms Of Gestational Trophoblastic Neoplasia Gtn For An Assessment Of Tumor Vasc Rings For Men Mri Representation

1

1

Https Pubs Rsna Org Doi Pdf 10 1148 Rg 2017160140

Https Pubs Rsna Org Doi Pdf 10 1148 Rg 2017160140

Pdf Gestational Trophoblastic Disease Report Of A Rare Case Of Placental Site Trophoblastic Tumor Semantic Scholar

Pdf Gestational Trophoblastic Disease Report Of A Rare Case Of Placental Site Trophoblastic Tumor Semantic Scholar

Gestational Trophoblastic Disease Molar Pregnancy Obgyn Key

Gestational Trophoblastic Disease Molar Pregnancy Obgyn Key

Benign Gestational Trophoblastic Disease Crash Medical Review Series Youtube

Benign Gestational Trophoblastic Disease Crash Medical Review Series Youtube

Gestational Trophoblastic Disease Clinical And Imaging Features Radiographics

Gestational Trophoblastic Disease Clinical And Imaging Features Radiographics

First Trimester Ultrasound In Gestational Trophoblastic Disease Radiology Key Ultrasound Ultrasound Sonography Ultrasound School

First Trimester Ultrasound In Gestational Trophoblastic Disease Radiology Key Ultrasound Ultrasound Sonography Ultrasound School

Scielo Brasil Clinical And Radiological Correlations In Patients With Gestational Trophoblastic Disease Clinical And Radiological Correlations In Patients With Gestational Trophoblastic Disease

Scielo Brasil Clinical And Radiological Correlations In Patients With Gestational Trophoblastic Disease Clinical And Radiological Correlations In Patients With Gestational Trophoblastic Disease

Gestational Trophoblastic Disease Clinical And Imaging Features Radiographics

Gestational Trophoblastic Disease Clinical And Imaging Features Radiographics

Pdf Ultrasound And Mri Findings In Gestational Trophoblastic Disease Gtd Learning Objectives

Pdf Ultrasound And Mri Findings In Gestational Trophoblastic Disease Gtd Learning Objectives

Gestational Trophoblastic Disease The Lancet

Gestational Trophoblastic Disease The Lancet

Epos C 13244

Epos C 13244

Gestational Trophoblastic Disease Clinical And Imaging Features Radiographics

Gestational Trophoblastic Disease Clinical And Imaging Features Radiographics

Gestational Trophoblastic Disease Clinical And Imaging Features Radiographics

Gestational Trophoblastic Disease Clinical And Imaging Features Radiographics

Gestational Trophoblastic Disease Clinical And Imaging Features Radiographics

Gestational Trophoblastic Disease Clinical And Imaging Features Radiographics

Https Pubs Rsna Org Doi Pdf 10 1148 Rg 2017160140

Https Pubs Rsna Org Doi Pdf 10 1148 Rg 2017160140

On Radiology Molar Pregnancy Snow White Appearance On Ultrasound

On Radiology Molar Pregnancy Snow White Appearance On Ultrasound

Ultrasound Imaging Of Gestational Trophoblastic Disease Semantic Scholar

Ultrasound Imaging Of Gestational Trophoblastic Disease Semantic Scholar

Gestational Trophoblastic Disease Clinical And Imaging Features Radiographics

Gestational Trophoblastic Disease Clinical And Imaging Features Radiographics

Gestational Trophoblastic Disease Clinical And Imaging Features Radiographics

Gestational Trophoblastic Disease Clinical And Imaging Features Radiographics

Https Pubs Rsna Org Doi Pdf 10 1148 Rg 2017160140

Https Pubs Rsna Org Doi Pdf 10 1148 Rg 2017160140

Gestational Trophoblastic Neoplasia Radiology Key

Gestational Trophoblastic Neoplasia Radiology Key

Scielo Brasil Clinical And Radiological Correlations In Patients With Gestational Trophoblastic Disease Clinical And Radiological Correlations In Patients With Gestational Trophoblastic Disease

Scielo Brasil Clinical And Radiological Correlations In Patients With Gestational Trophoblastic Disease Clinical And Radiological Correlations In Patients With Gestational Trophoblastic Disease

Gestational Trophoblastic Disease Clinical And Imaging Features Radiographics

Gestational Trophoblastic Disease Clinical And Imaging Features Radiographics

Gestational Trophoblastic Disease Radiology Reference Article Radiopaedia Org

Gestational Trophoblastic Disease Radiology Reference Article Radiopaedia Org

1

1

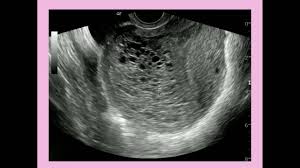
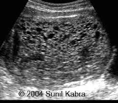
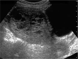
Ultrasound remains the radiological investigation of choice for initial.

The latter four entities are referred to as gestational trophoblastic neoplasia GTN. A common characteristic of all gestational trophoblastic disease is an abnormal proliferation of trophoblast but different components predominate in different tumors. Ultrasound remains the radiological investigation of choice for initial. Gestational trophoblastic neoplasia GTN encompasses a broad spectrum of placental lesions from the pre-malignant hydatidiform mole complete and partial through to the malignant invasive mole choriocarcinoma and rare placental site trophoblastic tumour PSTT. The latter four entities are referred to as gestational trophoblastic neoplasia GTN. There are several histologically distinct types of GTD that range from premalignant complete and partial hydatidiform moles HMs to malignant diseases also known as gestational trophoblastic. Ultrasound in the Diagnosis and Management of GTN Gestational trophoblastic neoplasia GTN includes invasive mole choriocarcinoma PSTT and ETT. Because it is an unusual and serious disease that affects women of reproductive age as well as because its appropriate treatment results in high cure rates it is crucial that radiologists be familiar with gestational trophoblastic disease in order to facilitate its early diagnosis and to ensure appropriate follow-up imaging. Gestational trophoblastic disease GTD is a spectrum of both benign and malignant gestational tumors including hydatidiform mole complete and partial invasive mole Choriocarcinoma placental site trophoblastic tumor and epithelioid trophoblastic tumor.


Gestational trophoblastic disease GTD encompasses a heterogeneous group of lesions including hydatidiform mole invasive mole choriocarcinoma and placental site trophoblastic tumor Mazur and Kurman 1994. The term gestational trophoblastic disease GTD encompasses a spectrum of tumors with a wide range of biologic behavior and potential for distant metastases. Gestational trophoblastic disease GTD is a term used for a group of pregnancy-related tumours. GTD refers to both the benign and malignant entities in the spectrum and includes hydatidiform mole complete and partial invasive mole choriocarcinoma placental site trophoblastic tumor PSTT and epithelioid trophoblastic tumor ETT. There are several histologically distinct types of GTD that range from premalignant complete and partial hydatidiform moles HMs to malignant diseases also known as gestational trophoblastic. Ultrasound in the Diagnosis and Management of GTN Gestational trophoblastic neoplasia GTN includes invasive mole choriocarcinoma PSTT and ETT. GTD refers to both the benign and malignant entities in the spectrum and includes hydatidiform mole complete and partial invasive mole choriocarcinoma placental.

Post a Comment for "Gestational Trophoblastic Disease Radiology"