Skip to content Skip to sidebar Skip to footer

Verhalten Von Menschen Mit Down Syndrom

Verhalten Von Menschen Mit Down Syndrom Down Syndrom Downsyndrom Kleidchen

Verhalten Von Menschen Mit Down Syndrom Down Syndrom Downsyndrom Kleidchen

Verhalten von menschen mit down syndrom. Bei vielen betroffenen Menschen ist die Zunge etwas zu groß sodass sie manchmal aus dem Mund herauslugt. Menschen mit Down-Syndrom sind Botschafter der Vielfalt des Lebens. Dieses überschüssige Chromosom trägt jene Gene die Menschen mit Down-Syndrom so unverwechselbar machen.

Damit können verschiedene meistens leichte geistige Behinderungen einhergehen sowie verschiedene organische Schäden und körperliche Beeinträchtigungen und Entwicklungsverzögerungen. Zudem sind viele musikalisch begabt und haben ein ausgeprägtes Gefühl für Rhythmus. Menschen mit Down-Syndrom sind oft spontan fröhlich und offen.

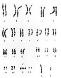
Sie tragen in ihren Körperzellen 47 statt der üblichen 46 Chromosomen. Down-Syndrom ist keine Krankheit. Heute weiß man.

Bei ihnen ist das 21. Menschen mit dieser Behinderung altern sehr schnell und sie leiden überdurchschnittlich häufig an Demenz. Sep 19 2017 - Menschen mit Down Syndrom verhalten sich oft anders doch wieso ist das so.

Wenn Menschen mit Down-Syndrom entsprechend gefördert werden können sie sich gut entwickeln und verhältnismäßig selbständig werden. Und da kann es passieren dass man von einer Sekunde auf die andere in ein Gespräch verwickelt wird. Chromosom ist dreifach vorhanden daher Trisomie 21.

Sozial ausgleichend offenes Wesen meist gutwillig Das Down-Syndrom beschreibt eine Ansammlung von Symptomen die durch eine Abweichung im Chromosomen-Stamm des Menschen. Sozialverhalten von Menschen mit Down-Syndrom ausgeprägtes Einfühlungsvermögen gute Mitschwingungsfähigkeit kontaktfreudig gesellig ehrlich authentisch lachen gern tanzen gern musizieren gern mit anderen Gruppenfähigkeit. Kombiniert mit einem möglichen Mangel an Impulskontrolle kann dies manchmal in Frustration und Aggression führen.

Sie sind liebevoll zärtlich freundlich und heiter. Sozial ausgleichend offenes Wesen meist gutwillig.

Verhalten Von Menschen Mit Down Syndrom Down Syndrom Downsyndrom Menschen Mit Behinderung

Verhalten Von Menschen Mit Down Syndrom Down Syndrom Downsyndrom Menschen Mit Behinderung

Menschen Mit Down Syndrom Verhaltensanderungen Im Alter Grin

Menschen Mit Down Syndrom Verhaltensanderungen Im Alter Grin

Touchdown 21 Was Sagen Menschen Mit Down Syndrom Dazu

Touchdown 21 Was Sagen Menschen Mit Down Syndrom Dazu

Jolinas Welt Verhalten Von Menschen Mit Down Syndrom

Jolinas Welt Verhalten Von Menschen Mit Down Syndrom

Die Typischen Merkmale Des Down Syndroms Das Down Syndrom Chromosomenstorungen Genetische Erkrankungen Untersuchungen Medizinisches Schwangerschaft Swissmom Ch

Die Typischen Merkmale Des Down Syndroms Das Down Syndrom Chromosomenstorungen Genetische Erkrankungen Untersuchungen Medizinisches Schwangerschaft Swissmom Ch

10 Fragen An Einen Menschen Mit Down Syndrom Die Du Dich Niemals Trauen Wurdest Zu Stellen

10 Fragen An Einen Menschen Mit Down Syndrom Die Du Dich Niemals Trauen Wurdest Zu Stellen

Trisomie 21 Menschen Mit Downsyndrom Leben Immer Langer Welt

Trisomie 21 Menschen Mit Downsyndrom Leben Immer Langer Welt

Down Syndrom Deximed

Down Syndrom Deximed

Trisomie 21 Was Wir Von Menschen Mit Down Syndrom Lernen Konnen Von Andre Frank Zimpel Buch 978 3 525 70175 1 Thalia

Trisomie 21 Was Wir Von Menschen Mit Down Syndrom Lernen Konnen Von Andre Frank Zimpel Buch 978 3 525 70175 1 Thalia

Welche Folgen Haben Down Syndrom Bluttests Kirche Leben

Welche Folgen Haben Down Syndrom Bluttests Kirche Leben

Patienten Mit Down Syndrom Dentale Besonderheiten Parodontologie Pnc Aktuell De

Patienten Mit Down Syndrom Dentale Besonderheiten Parodontologie Pnc Aktuell De

Menschen Mit Down Syndrom Wurden Lange Unterschatzt Welt

Menschen Mit Down Syndrom Wurden Lange Unterschatzt Welt

Frankfurt Hessen So Werden Behinderte Kinder In Unserer Gesellschaft Ausgegrenzt Frankfurt

Frankfurt Hessen So Werden Behinderte Kinder In Unserer Gesellschaft Ausgegrenzt Frankfurt

Down Syndrom Beim Baby Symptome Und Fruherkennung

Down Syndrom Beim Baby Symptome Und Fruherkennung

Verhalten Kids Hamburg E V

Verhalten Kids Hamburg E V

Kinder Mit Down Syndrom Verzaubern Das Netz

Kinder Mit Down Syndrom Verzaubern Das Netz

Besondere Talente Der Menschen Mit Downsyndrom Ndr De Ratgeber Gesundheit

Besondere Talente Der Menschen Mit Downsyndrom Ndr De Ratgeber Gesundheit

Alter Werdende Menschen Mit Down Syndrom Grin

Alter Werdende Menschen Mit Down Syndrom Grin

Probleme Der Sexualitat Bei Menschen Mit Down Syndrom Grin

Probleme Der Sexualitat Bei Menschen Mit Down Syndrom Grin

Leben Mit Kind Mit Downsyndrom Trisomie 21

Leben Mit Kind Mit Downsyndrom Trisomie 21

Uber Das Bild Von Menschen Mit Down Syndrom In Der Gesellschaft Domradio De Katholische Nachrichten

Uber Das Bild Von Menschen Mit Down Syndrom In Der Gesellschaft Domradio De Katholische Nachrichten

Ds Infocenter Zeitschrift Leben Mit Ds

Ds Infocenter Zeitschrift Leben Mit Ds

Down Syndrom Bei Trisomie 21 Abtreiben Oder Nicht Erfahrungsberichte

Down Syndrom Bei Trisomie 21 Abtreiben Oder Nicht Erfahrungsberichte

Demenz Ist Haupttodesursache Bei Down Syndrom

Demenz Ist Haupttodesursache Bei Down Syndrom

Nr 42 Januar Deutsches Down Syndrom Infocenter

Nr 42 Januar Deutsches Down Syndrom Infocenter

Einblick In Den Alltag Von Kindern Mit Down Syndrom

Einblick In Den Alltag Von Kindern Mit Down Syndrom

Altern Und Depression Bei Menschen Mit Down Ds Infocenter

Altern Und Depression Bei Menschen Mit Down Ds Infocenter

Pin Auf Kind

Pin Auf Kind

Down Syndrom Bei Trisomie 21 Abtreiben Oder Nicht Erfahrungsberichte

Down Syndrom Bei Trisomie 21 Abtreiben Oder Nicht Erfahrungsberichte

Down Syndrom Eins Zu Viel Bedeutet Vielfalt News Vita 34

Down Syndrom Eins Zu Viel Bedeutet Vielfalt News Vita 34

Besonderheiten In Der Wahrnehmung Im Verhalten Und Erleben

Besonderheiten In Der Wahrnehmung Im Verhalten Und Erleben

Down Syndrom Trisomie 21 Gesundheitsprobleme Von Kindern Msd Manual Ausgabe Fur Patienten

Down Syndrom Trisomie 21 Gesundheitsprobleme Von Kindern Msd Manual Ausgabe Fur Patienten

Sophie Unterwegs Leben Mit Dem Down Syndrom Unterricht Inhalt Ich Und Die Anderen Wissenspool

Sophie Unterwegs Leben Mit Dem Down Syndrom Unterricht Inhalt Ich Und Die Anderen Wissenspool

Birte Muller Miteinander Downsyndrom

Birte Muller Miteinander Downsyndrom

Down Syndrom Trisomie 21 Padiatrie Msd Manual Profi Ausgabe

Down Syndrom Trisomie 21 Padiatrie Msd Manual Profi Ausgabe

Https Www Ds Infocenter De Downloads Lmds Lmds 83 Sept2016 Pdf

Https Www Ds Infocenter De Downloads Lmds Lmds 83 Sept2016 Pdf

Besondere Talente Der Menschen Mit Downsyndrom Ndr De Ratgeber Gesundheit

Besondere Talente Der Menschen Mit Downsyndrom Ndr De Ratgeber Gesundheit

Miteinander Menschen Mit Down Syndrom E V Spende Fur Unsere Organisation Betterplace Org

Miteinander Menschen Mit Down Syndrom E V Spende Fur Unsere Organisation Betterplace Org

Erwachsene Menschen Mit Down Syndrom Kids Hamburg E V

Erwachsene Menschen Mit Down Syndrom Kids Hamburg E V

Facebook

Facebook

Wir Leben Mit Down Syndrom Menschen Mit Trisomie 21 Und Ihre Familien Erzahlen 9783942733526 Amazon Com Books

Wir Leben Mit Down Syndrom Menschen Mit Trisomie 21 Und Ihre Familien Erzahlen 9783942733526 Amazon Com Books

Https Www Hf Uni Koeln De Data Zedif File Kongressband Final 2012 Pdf

Https Www Hf Uni Koeln De Data Zedif File Kongressband Final 2012 Pdf

Down Syndrom Bei Trisomie 21 Abtreiben Oder Nicht Erfahrungsberichte

Down Syndrom Bei Trisomie 21 Abtreiben Oder Nicht Erfahrungsberichte

Bluttest Fur Down Syndrom Zeit Dass Sich Muslime An Der Debatte Beteiligen

Bluttest Fur Down Syndrom Zeit Dass Sich Muslime An Der Debatte Beteiligen

Leben Mit Kind Mit Downsyndrom Trisomie 21

Leben Mit Kind Mit Downsyndrom Trisomie 21

Zeitschrift Leben Mit Down Syndrom Nr 85 Mai 2017 2079

Zeitschrift Leben Mit Down Syndrom Nr 85 Mai 2017 2079

Natalie Dedreux Hat Das Down Syndrom Und Setzt Sich Fur Menschen Mit Behinderung Ein Domradio De Katholische Nachrichten

Natalie Dedreux Hat Das Down Syndrom Und Setzt Sich Fur Menschen Mit Behinderung Ein Domradio De Katholische Nachrichten

Menschen Mit Down Syndrom Verhaltensanderungen Im Alter Buy Menschen Mit Down Syndrom Verhaltensanderungen Im Alter Online At Low Price In India On Snapdeal

Menschen Mit Down Syndrom Verhaltensanderungen Im Alter Buy Menschen Mit Down Syndrom Verhaltensanderungen Im Alter Online At Low Price In India On Snapdeal

Einblick In Den Alltag Von Kindern Mit Down Syndrom

Einblick In Den Alltag Von Kindern Mit Down Syndrom

Menschen mit Down-Syndrom sind oft spontan fröhlich und offen.

Unruhezustände plötzliche Angst und Verwirrtheit können bei Menschen mit Down-Syndrom ein frühes Anzeichen für die Alzheimer Krankheit sein. Menschen mit Down-Syndrom besitzen ausgeprägte emotionale Fähigkeiten und ein sonniges Wesen. Empfehlenswerte Informationsseiten über das Down-Syndrom Sozialverhalten von Menschen mit Down-Syndrom ausgeprägtes Einfühlungsvermögen gute Mitschwingungsfähigkeit kontaktfreudig gesellig ehrlich authentisch lachen gern tanzen gern musizieren gern mit anderen Gruppenfähigkeit. Typisch für Menschen mit Down-Syndrom ist auch dass ihre Muskelspannung meist herabgesetzt ist und ihr Bindegewebe locker bleibt. Wie auch im normalen Bevölkerungsdurchschnitt gibt es ebenso bei Menschen mit Down Syndrom eine breite Spanne der intellektuellen Fähigkeiten. Die einen be- haupten Menschen mit Down-Syndrom wären nicht in der Lage das Leben zu genießen sie wären des Lebens nicht würdig und so gesehen haben die Pränatale Diagnostik und die Konse- quenzen für das Ungeborene mit einer Trisomie 21 ihre Berechtigung. Menschen mit Down-Syndrom sind Botschafter der Vielfalt des Lebens. Sozial ausgleichend offenes Wesen meist gutwillig. Down-Syndrom und Aggressive Behavior.


Menschen mit Down-Syndrom besitzen ausgeprägte emotionale Fähigkeiten und ein sonniges Wesen. Dieses überschüssige Chromosom trägt jene Gene die Menschen mit Down-Syndrom so unverwechselbar machen. Die einen be- haupten Menschen mit Down-Syndrom wären nicht in der Lage das Leben zu genießen sie wären des Lebens nicht würdig und so gesehen haben die Pränatale Diagnostik und die Konse- quenzen für das Ungeborene mit einer Trisomie 21 ihre Berechtigung. Unruhezustände plötzliche Angst und Verwirrtheit können bei Menschen mit Down-Syndrom ein frühes Anzeichen für die Alzheimer Krankheit sein. Menschen mit Down-Syndrom haben manchmal Probleme bei der Kommunikation und bekommen ihre Bedürfnisse erfüllt. Menschen mit Down-Syndrom sind Botschafter der Vielfalt des Lebens. Gerade die Eltern von Kindern mit dem Down-Syndrom verspüren zunächst häufig Gefühle von Ablehnung und Zweifeln.

Post a Comment for "Verhalten Von Menschen Mit Down Syndrom"